Table of Contents



Washington University Experience | PERIPHERAL NEUROPATHY | 4 AXONAL DEGENERATION | 4 Macrophages | 4K Axonal Degeneration (Case 4) 050 - Copy

4K Axonal Degeneration (Case 4) 050 - Copy
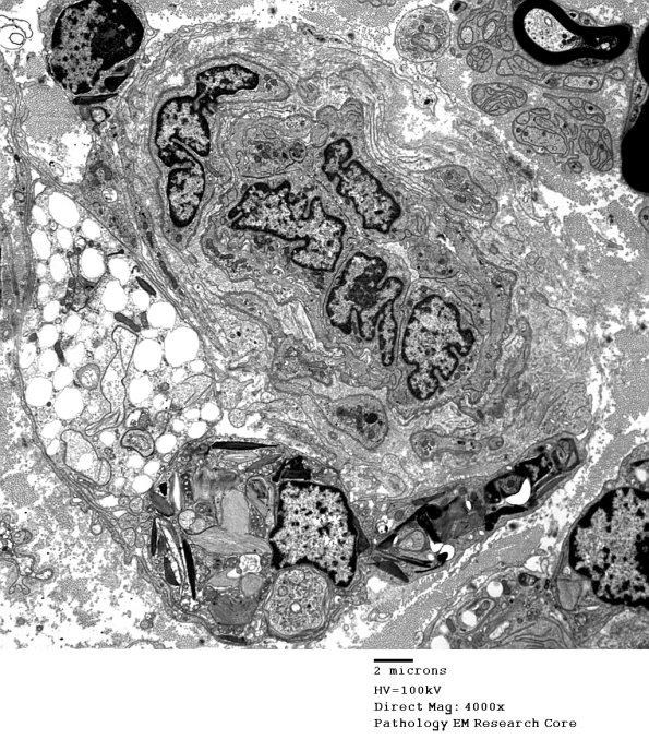
Several macrophages are clustered around this small vessel.


Gallery RSS RSS Feed | Archive View | Login | Powered by Zenphoto