Table of Contents



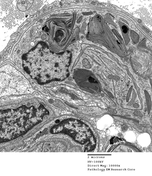
Washington University Experience | PERIPHERAL NEUROPATHY | 4 AXONAL DEGENERATION | 4 Macrophages | 4L2 Axonal Degeneration (Case 4) EM 070 - Copy

4L2 Axonal Degeneration (Case 4) EM 070 - Copy
Higher magnification of image #4L1. (electron micrograph)


Gallery RSS RSS Feed | Archive View | Login | Powered by Zenphoto