Table of Contents



Washington University Experience | PERIPHERAL NEUROPATHY | 4 AXONAL DEGENERATION | 4 Macrophages | 4M Axonal Degeneration (Case 4) 051 - Copy

4M Axonal Degeneration (Case 4) 051 - Copy
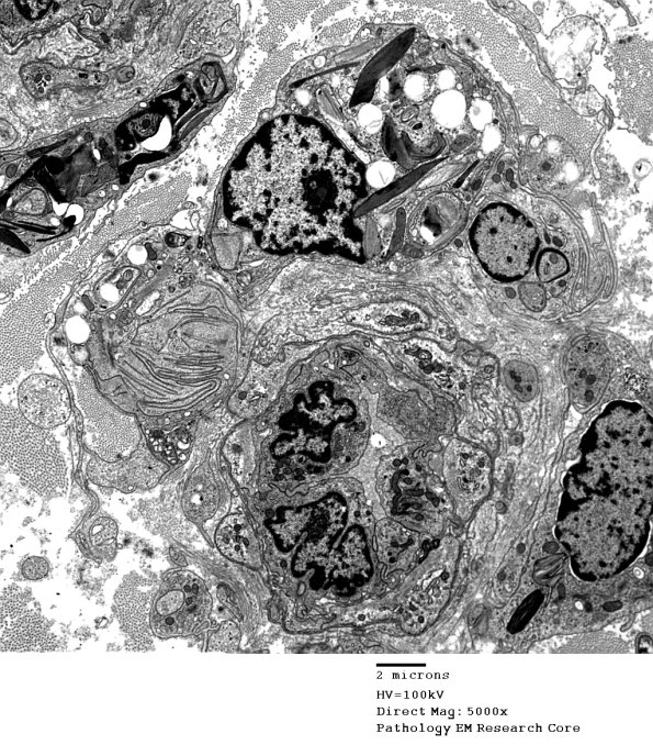
Additional example of pi granules in a macrophage lining up along this vessel.


Gallery RSS RSS Feed | Archive View | Login | Powered by Zenphoto