Table of Contents
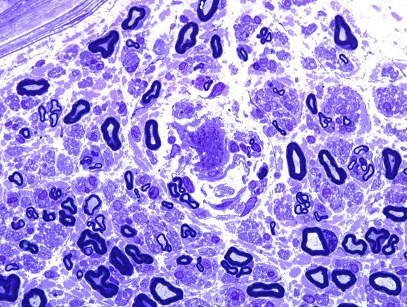
Washington University Experience | PERIPHERAL NEUROPATHY | 4 AXONAL DEGENERATION | 4 Macrophages | 4N1 Axonal Degeneration (Case 17) Plastic2.jpg
A large apparently multinucleated histiocytic line element within the endoneurium as shown in this toluidine blue stained one micron thick plastic embedded section. This was the only atypical structure like this encountered in the case.
