Table of Contents
Washington University Experience | PERIPHERAL NEUROPATHY | 4 AXONAL DEGENERATION | 4 Macrophages | 4N2 Axonal Degeneration (Case 17) EM 078 - Copy
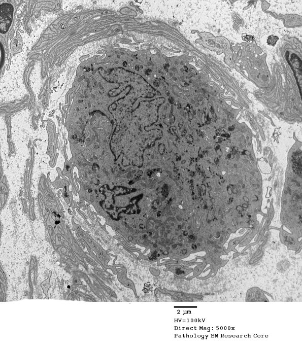
4N2-4 A single very unusual and markedly enlarged cell is noted in the center of the endoneurium of one fascicle. This cell is more than 20 microns in diameter, contains a lobated nucleus and demonstrates impressive autophagy of cellular organelles such as mitochondria and endoplasmic reticulum. The surface of this cell is characterized by numerous filopodia. We have had some difficulties in identifying this cell and determining its importance, if any, to the understanding of this case. It is likely that this cell is a member of histiocytic/macrophage/dendritic cell group.
