Table of Contents
Washington University Experience | PERIPHERAL NEUROPATHY | 4 AXONAL DEGENERATION | 4 Macrophages | 4N3 Axonal Degeneration (Case 17) - Copy
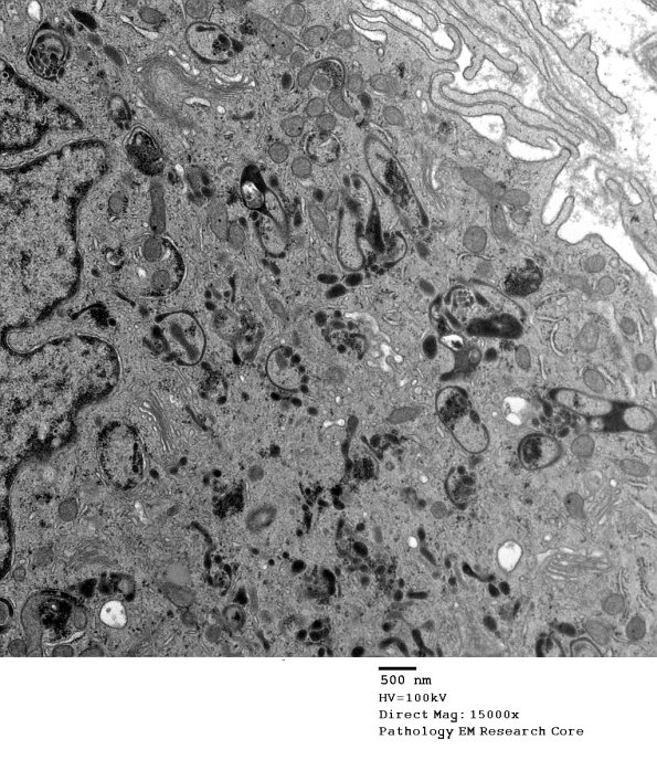
We have had some difficulties in identifying this cell and determining its importance, if any, to the understanding of this case. It is likely that this cell is a member of histiocytic/macrophage/dendritic cell group.
