Table of Contents



Washington University Experience | PERIPHERAL NEUROPATHY | 4 AXONAL DEGENERATION | 4 Macrophages | 4g (Case 13) EM 015 - Copy

4g (Case 13) EM 015 - Copy
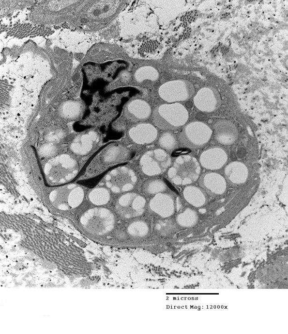
An additional migrating macrophage with lipidic debris.


Gallery RSS RSS Feed | Archive View | Login | Powered by Zenphoto