Table of Contents



Washington University Experience | PERIPHERAL NEUROPATHY | 4 AXONAL DEGENERATION | 5 Edema | 2A Edema, subperineurial (Case 2) H&E 1

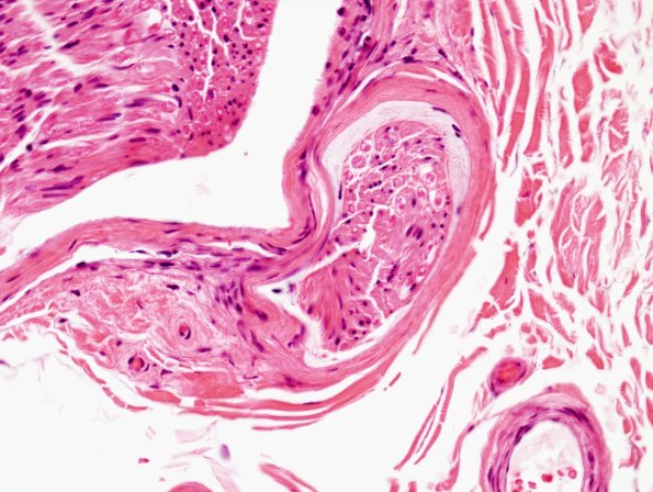
2A Edema, subperineurial (Case 2) H&E 1
Is this subperineurial edema or artifact? (H&E)


Gallery RSS RSS Feed | Archive View | Login | Powered by Zenphoto