Table of Contents



Washington University Experience | PERIPHERAL NEUROPATHY | 4 AXONAL DEGENERATION | 5 Edema | 3A Edema, subperineurial (Case 3) H&E 2

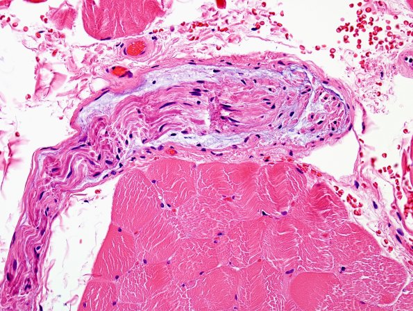
3A Edema, subperineurial (Case 3) H&E 2
The subperineurial space in this case is expanded by granular basophilic material. (H&E)


Gallery RSS RSS Feed | Archive View | Login | Powered by Zenphoto