Table of Contents
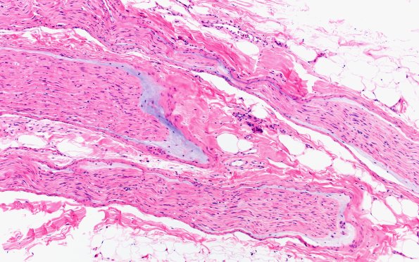
Washington University Experience | PERIPHERAL NEUROPATHY | 4 AXONAL DEGENERATION | 5 Edema | 4A1 Edema, subperineurial (Case 4) H&E 1
4A1,2 These small fascicles show axon loss and increased granular fluid in the sub-perineurium. (H&E)
