Table of Contents
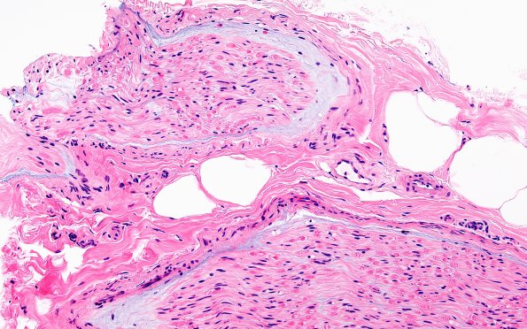
Washington University Experience | PERIPHERAL NEUROPATHY | 4 AXONAL DEGENERATION | 5 Edema | 4A2 Edema, subperineurial (Case 4) H&E 2
These small fascicles show axon loss and increased granular fluid in the sub-perineurium. (H&E)
