Table of Contents
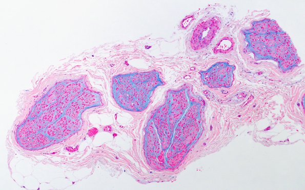
Washington University Experience | PERIPHERAL NEUROPATHY | 4 AXONAL DEGENERATION | 5 Edema | 5A1 Edema, subperineurial (Case 5) Alcian Blue 3
5A1,2 This area shows general expansion of the endoneurium by acidic mucopolysaccharides. (Alcian blue)
