Table of Contents
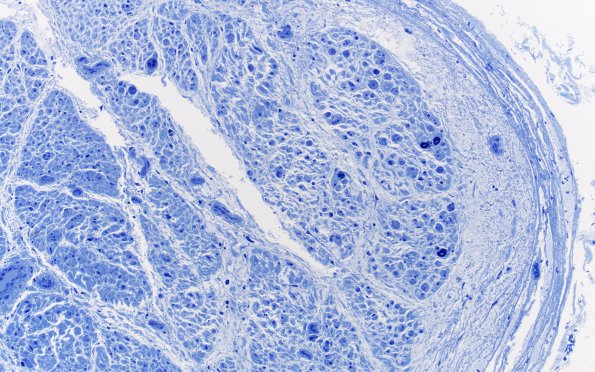
Washington University Experience | PERIPHERAL NEUROPATHY | 4 AXONAL DEGENERATION | 5 Edema | 6A2 W24-6103A (Case 6) Subperineurial edema Plastic 20X 1
Increasing magnification of a single fascicle with sub-perineurial edema. (Toluidine blue stained one micron thick plastic embedded section)
