Table of Contents
« prev
next »
Washington University Experience
|
PERIPHERAL NEUROPATHY
|
4 AXONAL DEGENERATION
|
5 Edema
|
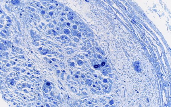
6A4 W24-6103A (Case 6) Subperineurial edema Plastic 40X 1
Higher magnification of image #6A2. (electron micrograph)
Image Info
Camera Maker:
Olympus
Camera Model:
DP74
Shutter Speed:
36/9863 sec
Metering Mode:
Multi-Spot
Gallery RSS
|
Archive View
|
Login
|
Powered by
Zenphoto