Table of Contents
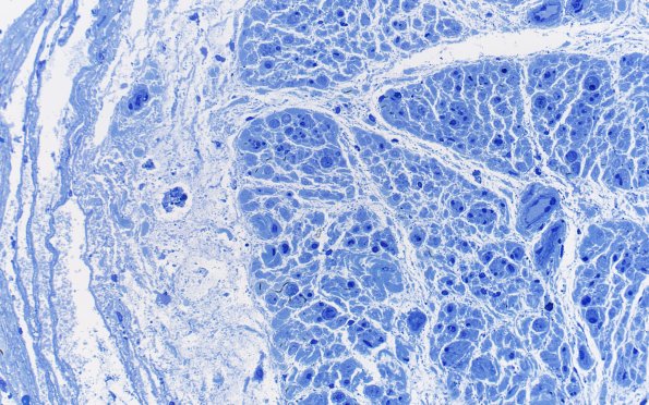
Washington University Experience | PERIPHERAL NEUROPATHY | 4 AXONAL DEGENERATION | 5 Edema | 6A7 (Case 6) Subperineurial edema Plastic 40X 2
There is marked loss of axons in this case. (Toluidine blue stained one micron thick plastic embedded section)
