Table of Contents
Washington University Experience | PERIPHERAL NEUROPATHY | 4 AXONAL DEGENERATION | 5 Edema | 6B4 (Case 6) EM 015 - Copy
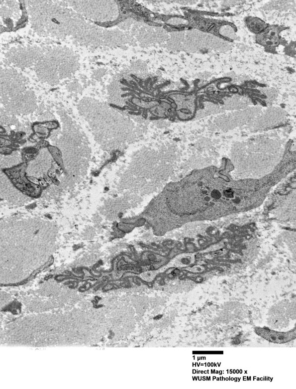
6B4-6 There is nearly complete loss of axons with corrugated collapsed basal lamina covering a few small residual Schwann cell processes. The matrix is composed of collagen with admixed oxytalan. (electron micrographs)
