Table of Contents
Washington University Experience | PERIPHERAL NEUROPATHY | 5 AXONAL REGENERATION | 10A1 BK34-227 DM Rat Mesenteric nerve copy
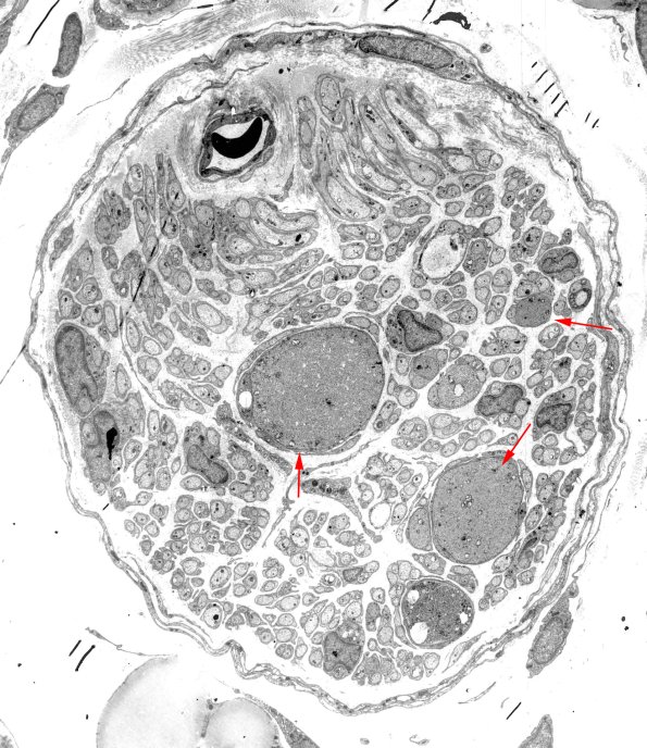
Previously and for many years I worked on an animal model of diabetic autonomic neuropathy in which rats made diabetic with streptozotocin developed an unusual pathology in the sympathetic axons of the ileal mesenteric nerves. I will illustrate this pathology in the next images because it closely resembles the pathology of rare axons encountered in a wide spectrum of human neuropathies.
10A1-5 ---- 10A1,2 A whole mount of the mesenteric nerves of diabetic rats. The entire nerve is ~50 microns in diameter. (electron micrographs)
