Table of Contents
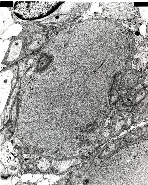
Washington University Experience | PERIPHERAL NEUROPATHY | 5 AXONAL REGENERATION | 10A5 NAD Mesenteric nerve EM 2
These smaller axons of diabetic rats have distinctive tubulovesicular elements similar to both growth cones and the elements shown in the following human neuropathies. (electron micrographs)
