Table of Contents
Washington University Experience | PERIPHERAL NEUROPATHY | 5 AXONAL REGENERATION | 11A2 AD (Case 18) EM 086 - Copy
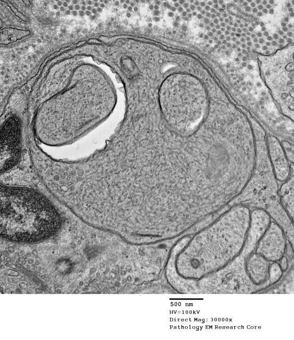
This nerve exhibited axon loss, regenerative clusters and typical neuroaxonal dystrophy involving scattered axons. The cleft is common in dystrophic axons as are the tubulovesicular elements. (electron micrographs)
