Table of Contents
Washington University Experience | PERIPHERAL NEUROPATHY | 5 AXONAL REGENERATION | 11D1 Axonal Degeneration & Artifact (Case 20 EM 004 - Copy
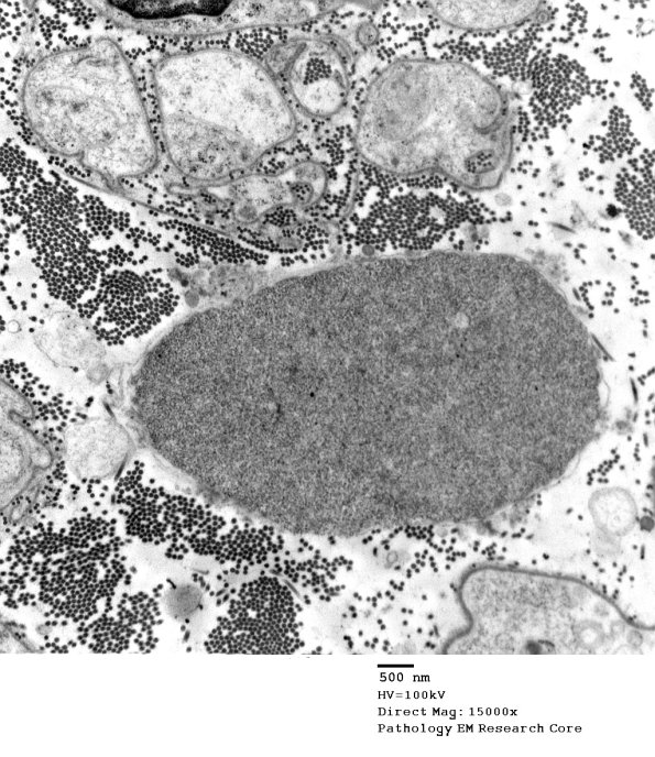
11D1,2 Dense collections make it difficult to recognize tubulovesicular substructure. (electron micrographs)
