Table of Contents



Washington University Experience | PERIPHERAL NEUROPATHY | 5 AXONAL REGENERATION | 11F1 AD (Case 18) EM 128 - Copy

11F1 AD (Case 18) EM 128 - Copy
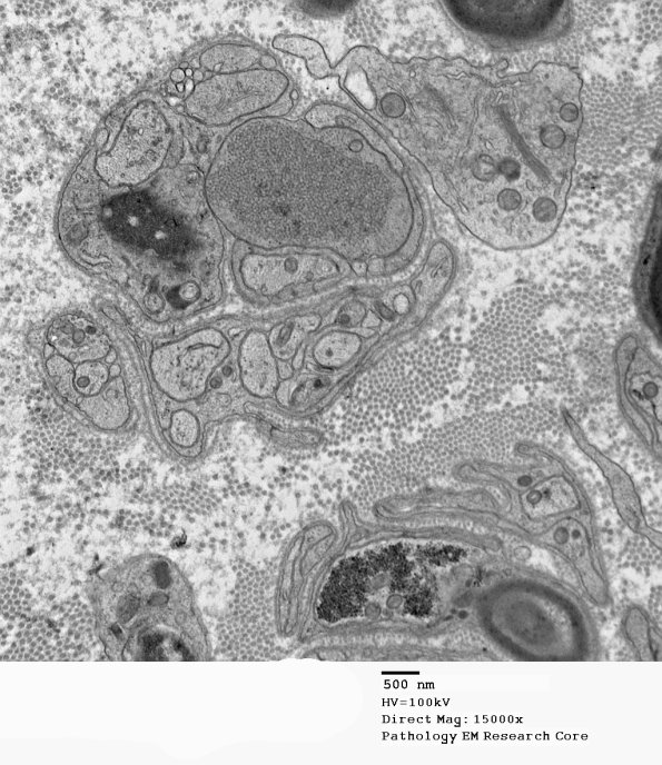
11F1,2 These images show a small axon with dense anastomosing tubulovesicular elements. (electron micrographs)


Gallery RSS RSS Feed | Archive View | Login | Powered by Zenphoto