Table of Contents



Washington University Experience | PERIPHERAL NEUROPATHY | 5 AXONAL REGENERATION | 11H1 AD (Case 18) EM 0 - Copy

11H1 AD (Case 18) EM 0 - Copy
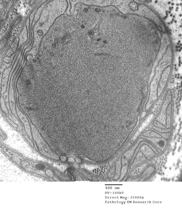
11H1,2 Shown is a band of Büngner with an axon swollen with tubulovesicular elements. (electron micrographs)


Gallery RSS RSS Feed | Archive View | Login | Powered by Zenphoto