Table of Contents



Washington University Experience | PERIPHERAL NEUROPATHY | 5 AXONAL REGENERATION | 11I1 AD (Case 18) EM 5 - Copy

11I1 AD (Case 18) EM 5 - Copy
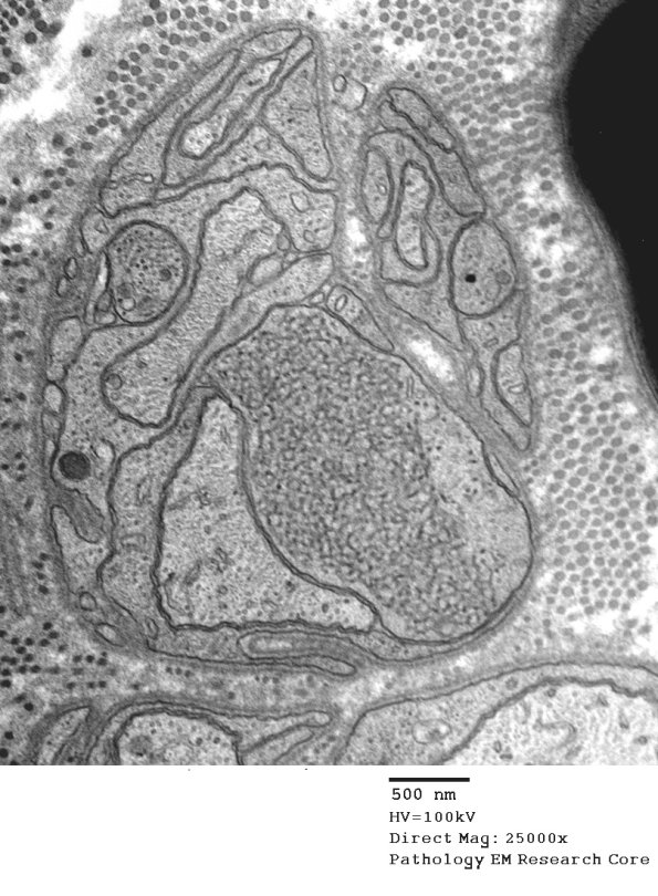
11I1,2 This is a collection of Schwann processes and a growth cone or two. (electron micrographs)


Gallery RSS RSS Feed | Archive View | Login | Powered by Zenphoto