Table of Contents
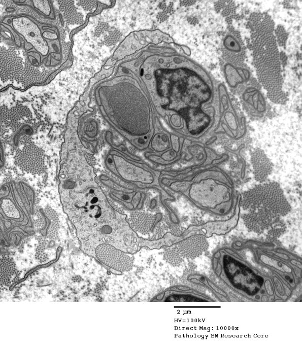
Washington University Experience | PERIPHERAL NEUROPATHY | 5 AXONAL REGENERATION | 11J1 AD (Case 18) EM 3 - Copy
11J1,2 The dystrophic structures appear in this case to be reinnervating a loose band of Büngner. (electron micrographs)
