Table of Contents



Washington University Experience | PERIPHERAL NEUROPATHY | 5 AXONAL REGENERATION | 11J2 AD (Case 18) EM 2 - Copy

11J2 AD (Case 18) EM 2 - Copy
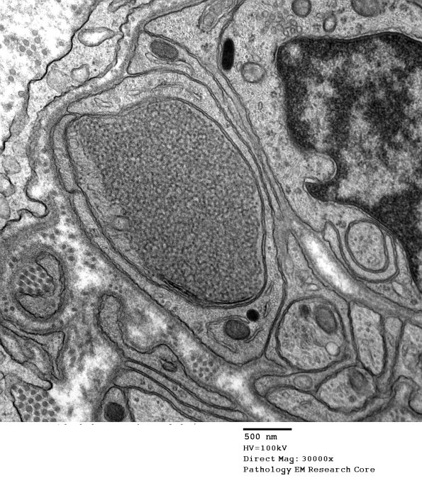
The dystrophic structures appear in this case to be reinnervating a loose band of Büngner. (electron micrographs)


Gallery RSS RSS Feed | Archive View | Login | Powered by Zenphoto