Table of Contents



Washington University Experience | PERIPHERAL NEUROPATHY | 5 AXONAL REGENERATION | 11K1 AD (Case 18) EM 1 - Copy

11K1 AD (Case 18) EM 1 - Copy
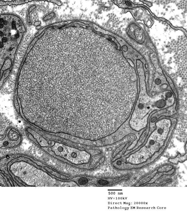
11K1,2 A swollen axon with the expected tubulovesicular elements. (electron micrographs)


Gallery RSS RSS Feed | Archive View | Login | Powered by Zenphoto