Table of Contents
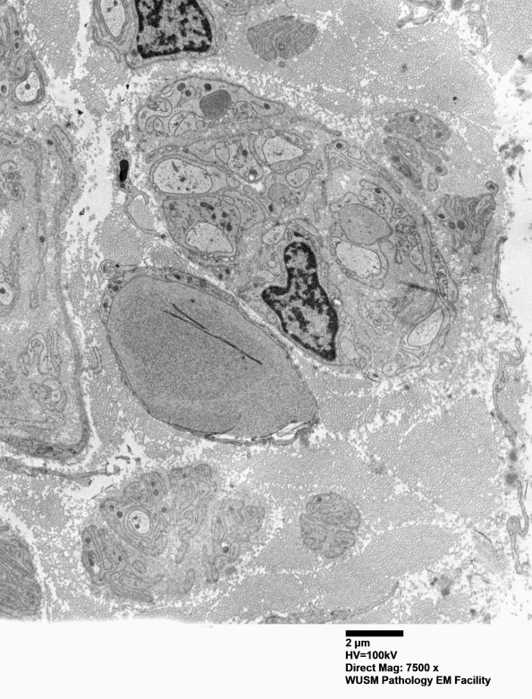
Washington University Experience | PERIPHERAL NEUROPATHY | 5 AXONAL REGENERATION | 11L1 W24-3671 Anders G (Case 22) Sural_075 - Copy
11L1,2 In these images delicate uncompacted tubulovesicular elements, dense axoplasm and a membranous cleft are illustrated. (electron micrographs)
