Table of Contents
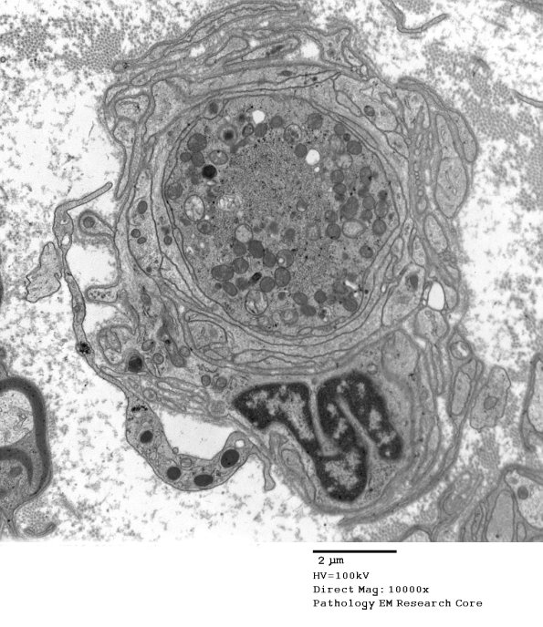
Washington University Experience | PERIPHERAL NEUROPATHY | 5 AXONAL REGENERATION | 11M1 (Case 18) Nerve_186 - Copy
11M1,2 In this axon there are collections of subcellular organelles, tubulovesicular elements (between arrowheads, 11M2) and autophagosomes. (electron micrographs)
