Table of Contents



Washington University Experience | PERIPHERAL NEUROPATHY | 5 AXONAL REGENERATION | 11O1 (Case 23) nerve_022 - Copy

11O1 (Case 23) nerve_022 - Copy
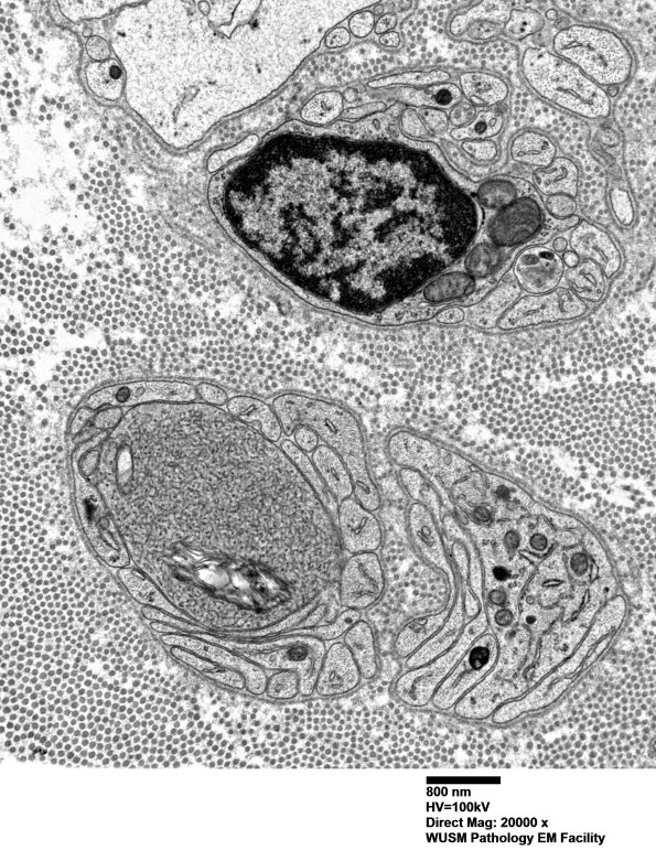
11OA1,2 A membranous cleft is surrounded by tubulovesicular elements. (electron micrographs)


Gallery RSS RSS Feed | Archive View | Login | Powered by Zenphoto