Table of Contents
Washington University Experience | PERIPHERAL NEUROPATHY | 5 AXONAL REGENERATION | 11P1 (Case 24) 2_017 - Copy
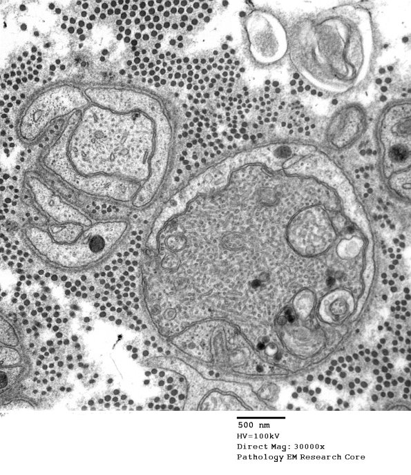
11P1,2 Individual tubules may be mistaken for microtubules, some of these profiles may be microtubules in cross section but microtubules do not anastomose. (electron micrographs)
