Table of Contents
Washington University Experience | PERIPHERAL NEUROPATHY | 5 AXONAL REGENERATION | 11P2 (Case 24) 2_019 - Copy
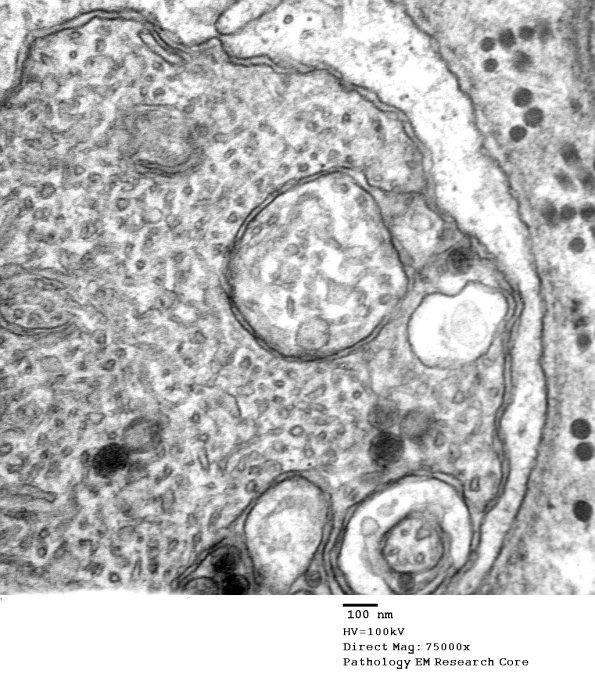
Individual tubules may be mistaken for microtubules, some of these profiles may be microtubules in cross section but microtubules do not anastomose. (electron micrographs)
