Table of Contents
Washington University Experience | PERIPHERAL NEUROPATHY | 5 AXONAL REGENERATION | 11Q1 Vit E Deficiency (EM_043 - Copy
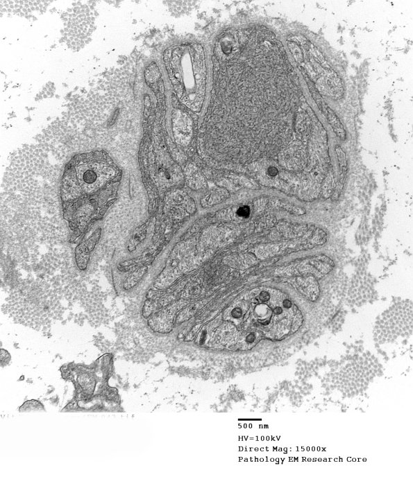
11Q1,2 The axoplasm intervening between anastomosing elements appears denser than expected, true of many dystrophic axons. (electron micrographs)
