Table of Contents
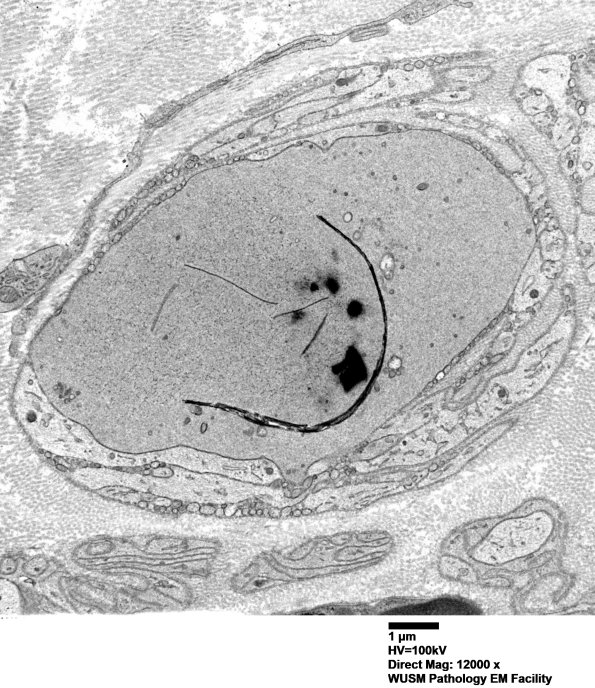
Washington University Experience | PERIPHERAL NEUROPATHY | 5 AXONAL REGENERATION | 11R1 (Case 25) Sural_031 - Copy
11R1,2 Shown is a large axon with dense axoplasm, tubulovesicular elements and a membranous cleft. (electron micrographs)
