Table of Contents
Washington University Experience | PERIPHERAL NEUROPATHY | 5 AXONAL REGENERATION | 12A1 EM 25 - Copy
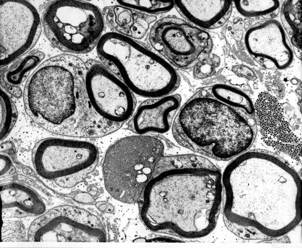
12A1,2 Occasionally a mature axon may be paired with a dystrophic axon (arrow, 12A2), support for the idea that the frustrated regenerating axon has not been completely pruned and lost. (electron micrographs)
