Table of Contents



Washington University Experience | PERIPHERAL NEUROPATHY | 5 AXONAL REGENERATION | 12A2 EM 40 brighter copy - Copy

12A2 EM 40 brighter copy - Copy
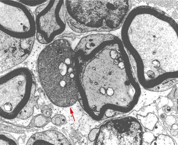
Higher magnification of image #12A1. (electron micrograph)


Gallery RSS RSS Feed | Archive View | Login | Powered by Zenphoto