Table of Contents
« prev
next »
Washington University Experience
|
PERIPHERAL NEUROPATHY
|
5 AXONAL REGENERATION
|
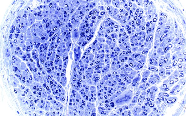
13A2 (Case 13) Plastic 40X 1
13A2,3 Higher magnification images suggest that all is not right with the endoneurial contents. (Plastic sections)
Image Info
Camera Maker:
Olympus
Camera Model:
DP74
Shutter Speed:
3/500 sec
Metering Mode:
Multi-Spot
Gallery RSS
|
Archive View
|
Login
|
Powered by
Zenphoto