Table of Contents
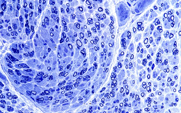
Washington University Experience | PERIPHERAL NEUROPATHY | 5 AXONAL REGENERATION | 13A4 (Case 13) Plastic 60X 1
13A4,5 Two things become apparent with increasing magnification: 1) there are numerous regenerative clusters and 2) the axons that remain show thinned-myelin-for-axon-caliber, evidence of a cycle of degeneration and regeneration. (Plastic sections)
