Table of Contents
« prev
next »
Washington University Experience
|
PERIPHERAL NEUROPATHY
|
5 AXONAL REGENERATION
|
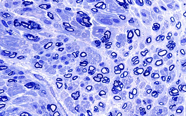
13A6 (Case 13) Plastic 100X 1
13A6,7 It becomes clear how abnormal these axons are.
Image Info
Camera Maker:
Olympus
Camera Model:
DP74
Shutter Speed:
7/50 sec
Metering Mode:
Multi-Spot
Gallery RSS
|
Archive View
|
Login
|
Powered by
Zenphoto