Table of Contents
Washington University Experience | PERIPHERAL NEUROPATHY | 5 AXONAL REGENERATION | 14A1 (Case 14) EM040 - Copy
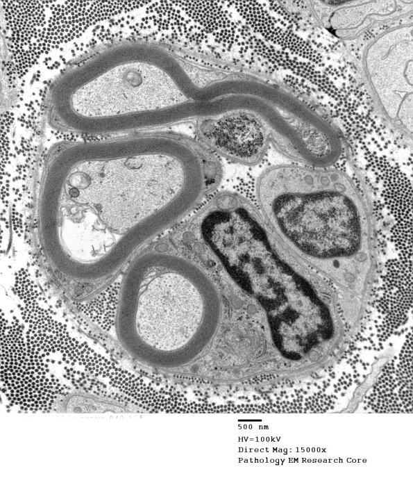
Case 14 History: The patient is a 40 year old woman who was admitted to the hospital over a week previously in diabetic ketoacidotic coma and was found to have worsening neuropathy and multiple new cerebral and cerebellar infarcts. A sural nerve biopsy was performed to assess the possibility of vasculitis. ---- During the course of the workup of the sural nerve biopsy a particularly photogenic regenerative cluster of axons was encountered. There was no evidence of vasculitis. ---- 14A1 This cluster consists of three small, thinly myelinated axons and two Schwann cell nuclei. The cluster is delimited by a large basal lamina which is seen enveloping all of those elements. It is thought that the communal basal membrane represents the basement membrane of the original large myelinated axon from which the axons emerged as sprouts and outlasted the others. (electron micrograph)
