Table of Contents
Washington University Experience | PERIPHERAL NEUROPATHY | 5 AXONAL REGENERATION | 14A3 (Case 14) EM042 - Copy
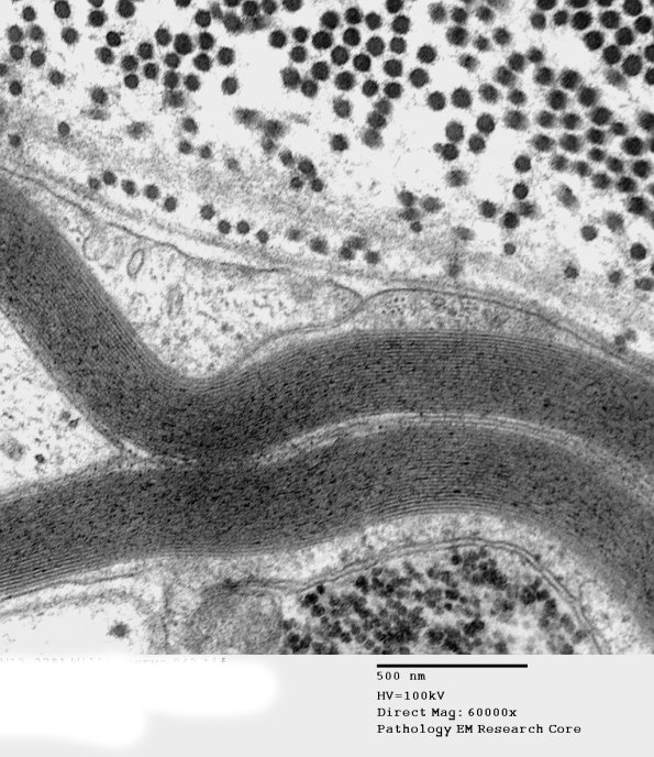
14A3,4 Moving clockwise around the cluster there is a Schwann cell enclosed within two basal laminae. There is a patch of rosetted glycogen, which is not uncommon in diabetes but is not pathognomonic of that condition. (electron micrograph)
