Table of Contents



Washington University Experience | PERIPHERAL NEUROPATHY | 5 AXONAL REGENERATION | 14A5 (Case 14) EM038 - Copy

14A5 (Case 14) EM038 - Copy
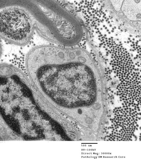
This Schwann cell nucleus is surrounded by basal laminae both of which can be seen. (electron micrograph)


Gallery RSS RSS Feed | Archive View | Login | Powered by Zenphoto