Table of Contents
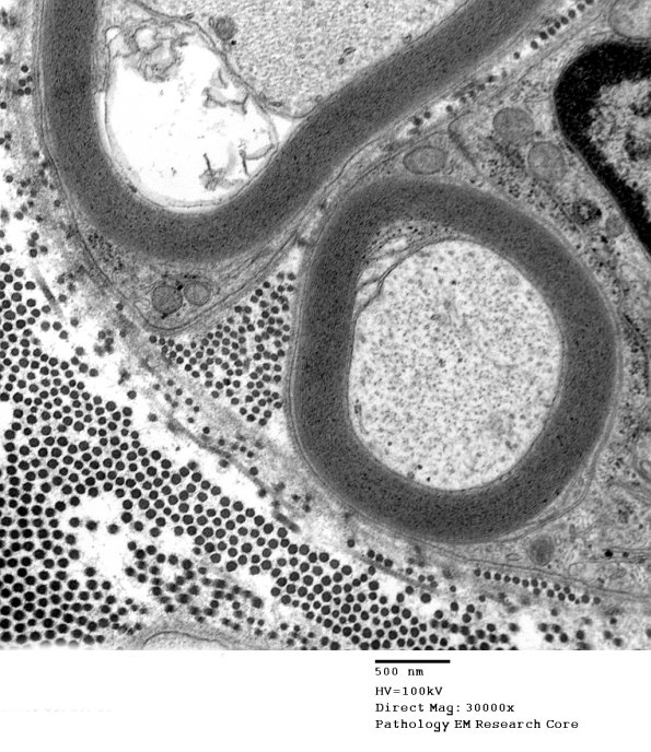
Washington University Experience | PERIPHERAL NEUROPATHY | 5 AXONAL REGENERATION | 14A7 (Case 14) EM036 - Copy
14A7,8 Two magnifications of the final part of the circumference showing the enclosing basal lamina (arrow, 14A8) and the basal lamina intimately applied to the Schwann cell surface (arrowhead, 14A8). (electron micrograph)
