Table of Contents
Washington University Experience | PERIPHERAL NEUROPATHY | 5 AXONAL REGENERATION | 14A8 (Case 14) EM044 copy - Copy
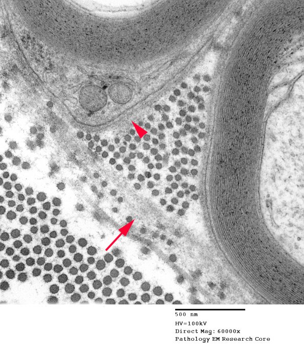
Two magnifications of the final part of the circumference showing the enclosing basal lamina (arrow, 14A8) and the basal lamina intimately applied to the Schwann cell surface (arrowhead, 14A8). (electron micrograph) ---- Comment: This is a classic regenerative cluster; however, often clusters do not retain the parent axon basal lamina for extended intervals. In this case one might wonder if glycation of the basal lamina as part of the diabetic metabolic state has resulted in making it resist the normal process of digestion and turnover.
