Table of Contents
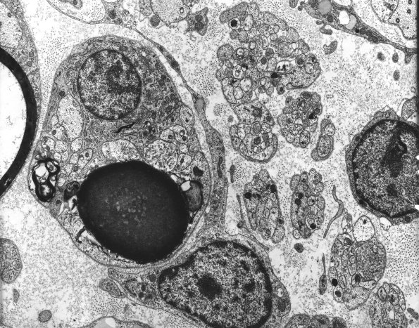
Washington University Experience | PERIPHERAL NEUROPATHY | 5 AXONAL REGENERATION | 1A1 Axons, regeneration (IV-55) Rat sciatic EM 2A (2)
1A0 Series 1A1-6 images are taken from a rat whose sciatic nerve was crushed inducing Wallerian degeneration and 10 days later the nerve was sampled 5-10mm distally to the crush site to capture axons freely regenerating. ---- 1A1,2 In these micrographs a nucleated Schwann cell contains myelin debris in its cytoplasm and a group of regenerating axons (arrow, 1A2) held within the Schwann cell. A second group of tiny regenerating axonal sprouts (arrowheads, 1A2) likely originated from sprouts of injured unmyelinated axons. (electron micrographs)
