Table of Contents
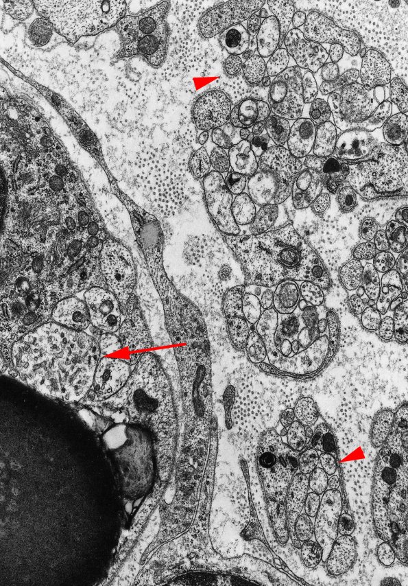
Washington University Experience | PERIPHERAL NEUROPATHY | 5 AXONAL REGENERATION | 1A2 Axons, regeneration (IV-55) Rat sciatic EM 2a copy
In these micrographs a nucleated Schwann cell contains myelin debris in its cytoplasm and a group of regenerating axons (arrow, 1A2) held within the Schwann cell. A second group of tiny regenerating axonal sprouts (arrowheads, 1A2) likely originated from sprouts of injured unmyelinated axons. (electron micrographs)
