Table of Contents
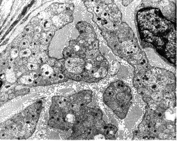
Washington University Experience | PERIPHERAL NEUROPATHY | 5 AXONAL REGENERATION | 1A3 Axons, regeneration (IV-236 CR3-3) Rat sciatic EM 1
1A3,4 Tiny axonal sprouts are often located within the same Schwann cell trough (arrowhead, 1A4) an appearance which is not seen in normal adult nerves. (electron micrographs)
