Table of Contents
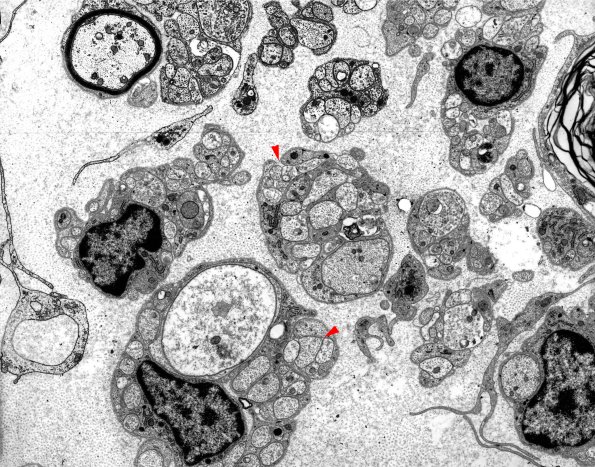
Washington University Experience | PERIPHERAL NEUROPATHY | 5 AXONAL REGENERATION | 1A4 EM 38 brighter copy
Tiny axonal sprouts are often located within the same Schwann cell trough (arrowhead, 1A4) an appearance which is not seen in normal adult nerves. (electron micrographs)
