Table of Contents
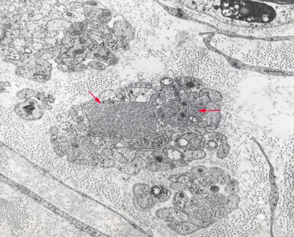
Washington University Experience | PERIPHERAL NEUROPATHY | 5 AXONAL REGENERATION | 1A5 Axons, regeneration (IV-55) Rat sciatic EM 1A copy
1A5,6 In freely regenerating nerves, growth cones (arrows) can have a distinctive but unimpressive appearance, In 1A6 the original surface of the Schwann cell (arrowhead) constrains the regenerating fibers. (electron micrographs)
