Table of Contents
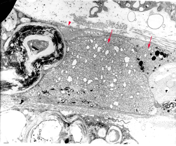
Washington University Experience | PERIPHERAL NEUROPATHY | 5 AXONAL REGENERATION | 1A6 EM 26 copy
In freely regenerating nerves, growth cones (arrows) can have a distinctive but unimpressive appearance, In 1A6 the original surface of the Schwann cell (arrowhead) constrains the regenerating fibers. (electron micrographs)
