Table of Contents
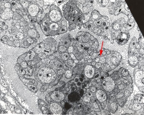
Washington University Experience | PERIPHERAL NEUROPATHY | 5 AXONAL REGENERATION | 1A7 Axonal sprouts (rat mesenteric nerve) EM 1 copy
1A7,8 In these rats the mesenteric nerve (completely unmyelinated in rat) distal to the superior mesenteric ganglion was crushed and the downstream branches sampled a few days later. Crushing the rat mesenteric nerve demonstrates similar regenerative phenomena in unmyelinated axons. Note side by side axon sprouts (arrow, 1A7). (electron micrographs)
